Logo Adenta

Godziny rejestracji

  • pon. - czw.: 08:00 - 20:00
  • pt.: 08:00 - 18:00

Oddychanie, zgryz i estetyka twarzy - jak aparat MSE może zmienić Twoje życie? Nowoczesne podejście do ekspansji szczęki

Współczesna ortodoncja oferuje coraz bardziej zaawansowane metody leczenia wad zgryzu, a jednym z innowacyjnych rozwiązań, zyskującym na popularności, jest aparat MSE (Maxillary Skeletal Expander). To urządzenie, wykorzystujące mikroimplanty ortodontyczne, pozwala na skuteczne rozszerzanie szczęki, nie tylko u dzieci i młodzieży, ale także u dorosłych pacjentów, u których zrost szwu podniebiennego wcześniej stanowił ograniczenie terapeutyczne. Dziś przyjrzymy się bliżej, jak działa ten aparat i jakie korzyści może przynieść jego zastosowanie, również poza aspektem prostowania zębów.

Nie tylko proste zęby - szerokie spektrum działania MSE

Chociaż aparat MSE kojarzony jest przede wszystkim z leczeniem stłoczenia zębów górnych, to jego zastosowanie jest znacznie szersze. Warto podkreślić, że zwężona szczęka może być przyczyną nie tylko problemów z estetyką uśmiechu, ale także poważniejszych konsekwencji zdrowotnych. Zastosowanie MSE znajduje uzasadnienie, gdy obserwujemy takie problemy jak:

  • Zaburzenia oddychania – szczęka jako kluczowy element drogi oddechowej: Wąska szczęka prowadzi do zmniejszenia objętości jamy nosowej, a co za tym idzie – do trudności w swobodnym oddychaniu przez nos. Pacjenci często skarżą się na przewlekłe uczucie zatkanego nosa, chrapanie (spowodowane tym, że wąska szczęka a bezdech senny często idą w parze) i zwiększoną podatność na infekcje górnych dróg oddechowych. Aparat MSE poprzez ekspansję kości szczęki, pozwala na przywrócenie prawidłowej drożności nosa i poprawę komfortu oddychania.
  • Problemy ze szczęką w kontekście rozwoju mowy i artykulacji - prawidłowa budowa jamy ustnej i szczęki odgrywa kluczową rolę w procesie rozwoju mowy. Niedorozwój szczęki lub jej zwężenie mogą prowadzić do wad wymowy, seplenienia, a nawet trudności w przełykaniu. Dystrakcja szczęki przy pomocy aparatu MSE poprawia warunki anatomiczne w jamie ustnej, wspierając prawidłowy rozwój mowy.
  • Wpływ zwężonej szczęki na stawy skroniowo-żuchwowe - zwężenie szczęki może prowadzić do zaburzeń w biomechanice stawów skroniowo-żuchwowych, objawiających się bólami głowy, szczęki, trudnościami w otwieraniu i zamykaniu ust, a nawet trzaskami i przeskakiwaniem w stawie. Aparat MSE, poprzez poszerzenie szczęki, często normalizuje pracę stawów skroniowo-żuchwowych i eliminuje dolegliwości bólowe.
  • Estetyka twarzy a budowa szczęki - nie można zapominać o wpływie budowy szczęki na ogólny wygląd twarzy. Zwężona szczęka może powodować, że twarz wydaje się dłuższa, węższa i bardziej zapadnięta. Poszerzenie górnego łuku zębowego i całej szczęki za pomocą aparatu do dystrakcji szczęki prowadzi do korzystnych zmian w proporcjach twarzy, przywracając jej harmonię i symetrię. Twarz staje się pełniejsza, a rysy nabierają łagodniejszego charakteru. MSE często stanowi wstęp do dalszego leczenia ortodontycznego lub protetycznego, poprawiając ostateczne efekty estetyczne.

Jak przebiega leczenie aparatem MSE - od diagnostyki do efektów

Proces leczenia aparatem MSE rozpoczyna się od szczegółowej diagnostyki. Ortodonta przeprowadza badanie kliniczne, oceniając budowę jamy ustnej, zgryz i funkcje oddychania. Wykonuje się również zdjęcia rentgenowskie (np. tomografię stożkową twarzoczaszki) oraz skany 3D uzębienia, co pozwala na precyzyjne zaplanowanie leczenia.

 

Następnie, po zaprojektowaniu i przygotowaniu aparatu, lekarz ortodonta, w znieczuleniu miejscowym, wprowadza do podniebienia mini-implanty, które stanowią punkt zaczepienia dla aparatu MSE. Sam aparat składa się z metalowej śruby rozprężającej, która jest stopniowo aktywowana przez pacjenta lub lekarza, zgodnie z indywidualnie ustalonym protokołem.

 

Aktywacja aparatu MSE polega na delikatnym dokręcaniu śruby, co powoduje rozsuwanie się kości szczęki w szwie podniebiennym. Proces ten jest zazwyczaj bezbolesny, chociaż pacjent może odczuwać lekki ucisk, rozpieranie lub mrowienie w obrębie podniebienia i nosa. Dolegliwości te są jednak przejściowe i łatwe do opanowania za pomocą łagodnych środków przeciwbólowych. Kontrola dystrakcji szczęki odbywa się poprzez regularne wizyty w gabinecie ortodontycznym, gdzie lekarz monitoruje postępy leczenia i w razie potrzeby koryguje protokół aktywacji MARPE.

 

Po uzyskaniu pożądanego poszerzenia szczęki następuje faza stabilizacji, podczas której aparat MSE jest utrzymywany przez kilka miesięcy, aby umożliwić regenerację kości i utrwalenie efektów leczenia. Następnie, w zależności od potrzeb pacjenta, można przejść do kolejnych etapów leczenia ortodontycznego, np. za pomocą aparatu stałego, mającego na celu ostateczne ustawienie zębów w prawidłowej pozycji.

Przekój szczęki przed leczeniem
Pacjent przede leczeniem obecny zgryz krzyżowy, stłoczenia.
Przekrój szczęki rok po leczeniu.
Rok po ekspansji - prawidłowy zgryz, proste zęby.

MSE - nowoczesne leczenie dla dzieci i dorosłych

Jeszcze do niedawna ekspansja szczęki u pacjentów dorosłych, u których nastąpił zrost szwu podniebiennego, była uznawana za bardzo trudną, a czasami wręcz niemożliwą do przeprowadzenia bez interwencji chirurgicznej. Dzięki aparatowi MSE i zastosowaniu mikrośrub ortodontycznych, możliwe jest skuteczne rozszerzanie szczęki również u osób dorosłych. Wiek nie stanowi już bariery w leczeniu zwężonej szczęki, choć warto zaznaczyć, że dystrakcja szczęki u dorosłego może wymagać dłuższego czasu i nieco innego podejścia terapeutycznego niż u dzieci i młodzieży. Niezależnie od wieku, pacjenci z powodzeniem stosują MARPE dla dorosłych, ciesząc się z uzyskanych efektów. Często osoby starsze zastanawiają się, czy aparat sprawdzi się również u nich – dorośli pacjenci stanowią coraz większą grupę naszych pacjentów.

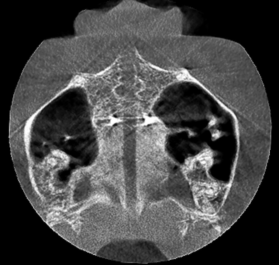
Przekrój CBCT
Przekrój CBCT ukazujący ekspansję na poziomie szwu podniebiennego.

Efektywność i bezpieczeństwo potwierdzone badaniami

Aparat MSE i technika MARPE są poparte licznymi badaniami naukowymi, które potwierdzają ich skuteczność i bezpieczeństwo w leczeniu zwężenia szczęki u pacjentów w różnym wieku. Skuteczność ta widoczna jest zarówno u osób, które dotknął problem taki jak zwężenie szczęki, jak i tych, u których chcemy uzyskać lepsze rezultaty estetyczne czy funkcjonalne (np. poprawę oddychania). Publikacje naukowe o MSE analizują wpływ aparatu na drogi oddechowe, stawy skroniowo-żuchwowe, a także na rysy twarzy, potwierdzając korzyści płynące z jego zastosowania. Coraz większa ilość pozytywnych rezultatów MARPE, obserwowanych przez klinicystów na całym świecie, przyczynia się do wzrostu popularności tej metody leczenia. Warto również zaznaczyć, że rozwój technologii i materiałów stosowanych w ortodoncji, w tym innowacje w dystrakcji szczęki, wpływa na ciągłe doskonalenie aparatów MSE i technik ich aplikacji, co przekłada się na jeszcze lepsze efekty terapeutyczne. Naukowcy i klinicyści poszukują odpowiedzi na pytania takie jak ile trwa leczenie MARPE, czy MARPE jest skuteczne w specyficznych grupach pacjentów i jak skutecznie minimalizować dyskomfort związany z leczeniem.

Aparat MSE w gabinecie ortodontycznym - konsultacja i plan leczenia

Jeżeli zauważasz u siebie lub u swojego dziecka objawy mogące świadczyć o zwężeniu szczęki, takie jak trudności z oddychaniem przez nos, częste infekcje górnych dróg oddechowych, stłoczenie zębów, bóle głowy, czy dyskomfort w stawach skroniowo-żuchwowych, warto skonsultować się z doświadczonym ortodontą. Podczas wizyty konsultacyjnej lekarz ortodonta przeprowadzi dokładne badanie i oceni, czy aparat MSE jest odpowiednim rozwiązaniem w Twoim przypadku. W naszej klinice oferujemy kompleksową diagnostykę i leczenie wad zgryzu z wykorzystaniem najnowocześniejszych technologii, w tym właśnie aparatu MSE, zapewniając pacjentom indywidualne podejście i opiekę na każdym etapie leczenia.

 

Decydując się na leczenie aparatem MSE w naszym gabinecie ortodontycznym, możesz liczyć na:

  • Profesjonalną diagnostykę – dysponujemy nowoczesnym sprzętem diagnostycznym, pozwalającym na precyzyjną ocenę budowy szczęki, zgryzu i funkcji oddychania.
  • Indywidualny plan leczenia – opracujemy plan leczenia dostosowany do Twoich potrzeb i oczekiwań, uwzględniający specyfikę Twojego przypadku i cel leczenia. Przedyskutujemy z Tobą, jak przebiega dystrakcja szczęki, jak często aktywować aparat MSE i jak dbać o higienę jamy ustnej w trakcie leczenia.
  • Doświadczony zespół – nasz zespół składa się z wykwalifikowanych ortodontów, którzy posiadają szeroką wiedzę i doświadczenie w stosowaniu aparatu MSE u pacjentów w różnym wieku i z różnymi problemami. Zapewniamy również kontrole przebiegu dystrakcji szczęki.
  • Komfortowe warunki leczenia – dbamy o to, aby wizyty w naszym gabinecie przebiegały w przyjemnej i bezstresowej atmosferze. Stosujemy skuteczne metody znieczulenia, minimalizując dyskomfort związany z wprowadzaniem mikroimplantów ortodontycznych i aktywacją aparatu MSE.
  • Opiekę po leczeniu – po zakończeniu aktywnej fazy leczenia, zapewniamy opiekę pozabiegową, monitorując stabilność uzyskanych efektów i w razie potrzeby wdrażając dalsze etapy leczenia ortodontycznego. Udzielamy również szczegółowych instrukcji dotyczących higieny jamy ustnej i profilaktyki, aby pomóc Ci utrzymać piękny i zdrowy uśmiech na lata.
  • Nowoczesne rozwiązania – nasz gabinet ortodontyczny wyposażony jest w najnowocześniejszy sprzęt, co pozwala na precyzyjne planowanie i skuteczne prowadzenie leczenia. Stale podnosimy nasze kwalifikacje uczestnicząc w szkoleniach i konferencjach, śledząc najnowsze trendy w ortodoncji. Jesteśmy na bieżąco z najnowszymi doniesieniami naukowymi dotyczącymi ekspansji szczęki.

Zapraszamy na konsultację ortodontyczną! Jeśli masz pytania dotyczące aparatu MSE, dystrakcji szczęki, lub innych metod leczenia ortodontycznego, chętnie na nie odpowiemy i pomożemy Ci w podjęciu decyzji o leczeniu. Czekamy na Ciebie!
 

Banner MediRaty